odontologia-general.jpg

Odontología General

Tratamientos Odontológicos

La odontología general abarca una variedad de servicios destinados a diagnosticar; tratar y prevenir enfermedades bucales así como mantener tu salud bucal. Incluye todos los procedimientos básicos que conformen el alta general bucal.

Nuestro equipo trata pacientes de todas las edades existiendo para cada área un especialista en ello; de forma tal que estés siempre en manos experimentadas a la hora de resolver cualquier problema no importa la complejidad.

Tratamientos

De primera fase
  • Enseñanza y refuerzo de higiene

  • Limpieza ultrasonido y tratamiento periodontal

  • Caries y restauraciones estéticas con resinas

  • Tratamientos de conducto con técnicas mecanizadas modernas

  • Extracciones dentales y cirugía de terceros molares (juicio)

  • Placas de bruxismo convencionales y 3D

De segunda fase
  • Ortodoncia y tratamiento de maloclusiones en niños (Ortopedia maxilar)

  • Prótesis removibles parciales y completas

  • Incrustaciones y coronas dentales

  • Blanqueamiento dental interno y externo

  • Cirugía de implantes y periodontal de alta complejidad

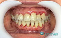
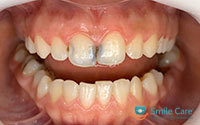
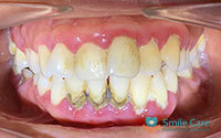
Casos:



Contacto y Turnos

Por favor completar el formulario. A la brevedad responderemos el mensaje.




Tratamientos

Atención Particular