estetica-dental.jpg

Biomimética y Estética Dental

Tratamientos

La utilización de amalgamas y pernos con coronas es parte del pasado. Existe un nuevo concepto dentro de la odontología moderna donde se entrelazan las nuevas técnicas para la conservación máxima de los dientes; interfiriendo lo menos posible pero devolviéndole la anatomía, la estética y la función utilizando materiales de última generación que nos brindan un resultado natural y saludable en todos los casos.

Nuestros profesionales altamente capacitados pueden brindarte soluciones simples para situaciones complejas en donde solo se piensa en recuperar piezas que muchas veces se dan por perdidas.

Tratamientos

Estética Dental
  • Reparación y tratamiento de caries simples y complejas con materiales importados.

  • Confección de puentes adheridos con resinas y fibras.

  • Tratamiento de dientes fisurados.

  • Incrustaciones dentales y coronas.

  • Rehabilitación para la utilización de raíces con postes, mallas y fibras.

  • Planificación y rehabilitaciones complejas por desgaste dentario ( erosion; abrasión; desgastes varios incluso por bruxismo severo).

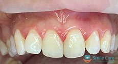
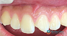
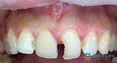
Casos:


Contacto y Turnos

Por favor completar el formulario. A la brevedad responderemos el mensaje.




Tratamientos

Atención Particular